Publications

Oct 17, 2026
Publications
Microbial Identification Using DNA Target Amplification and Sequencing: Clinical Utility and Impact on Patient Management
Tinzar Basein, Bradley J Gardiner, Gabriela M Andujar Vazquez, Andrew S Joel Chandranesan, Arthur R Rabson, Shira Doron, David R Snydman

Sep 17, 2026
Publications
Effect of Algorithm-Based Therapy vs Usual Care on Clinical Success and Serious Adverse Events in Patients with Staphylococcal Bacteremia: A Randomized Clinical Trial.
Thomas L. Holland, MD, Issam Raad, MD, Helen W. Boucher, MD, et al

Aug 27, 2018
Publications
The piglet acute diarrhea model for evaluating efficacy of treatment and control of cryptosporidiosis
Cryptosporidium spp. are ranked as the second leading pathogens causing life-threatening diarrhea in children under 2 years of age.

Aug 17, 2026
Publications
Antimicrobial susceptibility and ribotypes of Clostridium difficile isolates from a Phase 2 clinical trial of ridinilazole (SMT19969) and vancomycin.
Aug 17, 2026
Publications
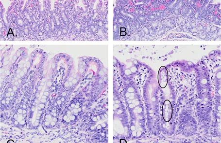
Enhanced preservation of the human intestinal microbiota by ridinilazole, a novel Clostridium difficile-targeting antibacterial, compared to vancomycin.
Cheleste M. Thorpe , Anne V. Kane, Justin Chang, Albert Tai, Richard J. Vickers, and David R. Snydman

Jul 17, 2018
Publications
Stereospecific Synthesis of the Saccharosamine-Rhamnose-Fucose Fragment Present in Saccharomicin B
Marissa Bylsma and Clay S. Bennett

Jul 17, 2026
Publications
Accelerating Early Antituberculosis Drug Discovery by Creating Mycobacterial Indicator Strains That Predict Mode of Action
Maikel Boot, Susanna Commandeur, Amit K. Subudhi, Meriem Bahira, Trever C. Smith, II, Abdallah M. Abdallah, Mae van Gemert, Joël Lelièvre, Lluís Ballell, Bree B. Aldridge, Arnab Pain, Alexander Speer, Wilbert Bitter

Jun 26, 2018
Publications
Therapeutic Efficacy of Bumped Kinase Inhibitor 1369 in a Pig Model of Acute Diarrhea Caused by Cryptosporidium hominis
Sangun Lee, Melanie Ginese, Gillian Beamer, Hillary R. Danz, Donald J. Girouard, Susan P. Chapman-Bonofiglio, Minhee Lee, Matthew A. Hulverson, Ryan Choi, Grant R. Whitman, Kayode K. Ojo, Samuel L. M. Arnold, Wesley C. Van Voorhis, Saul Tzipori

May 24, 2018
Publications
A global regulatory system links virulence and antibiotic resistance to envelope homeostasis in Acinetobacter baumannii
Edward Geisinger, Nadav J. Mortman, Germán Vargas-Cuebas, Albert K. Tai

May 23, 2018
Publications
Reagent-Controlled Synthesis of the Branched Trisaccharide Fragment of the Antibiotic Saccharomicin B
Sameh E. Soliman and Clay S. Bennett

Apr 1, 2018
Publications
Fluorescent Mycobacterium Tuberculosis Reporters: Illuminating Host-Pathogen Interactions
The pathogenesis of Mycobacterium tuberculosis (Mtb) is intrinsically linked to its intimate and enduring interaction with its host, and understanding Mtb–host interactions at a molecular level is critical to attempts to decrease the significant burden of tuberculosis disease.

Apr 17, 2026
Publications
Evaluation of the In Vitro Activity of Eravacycline against a Broad Spectrum of Recent Clinical Anaerobic Isolates.
David R. Snydman, Laura A. McDermott, Nilda V. Jacobus, Kathryn Kerstein, Trudy H. Grossman, Joyce A. Sutcliffe

